Bandscheibenprothese / ADR
Bandscheibenvorfall an der Halswirbelsäule (HWS)
Bandscheibenvorfall an der Lendenwirbelsäule (LWS)
Dekompression / Jannetta OP
Dekompression / Mikrolaminektomie
Dystonie
Elektrophysiologie
Endoskopische Abrasion
Endoskopische Bandscheiben-OP
Essentieller Tremor
Hirntumor: Ursachen, Symptome und Therapie
Instabilität / Gleitwirbel
Karpaltunnelsyndrom
Kyphoplastie und Vertebroplastie
Mikrochirurgische OP
Mikrotherapie Wirbelsäule
Minimalinvasive OP
Morton-Neurom / Morton-Neuralgie
Neuralgie / Trigeminusneuralgie
Osteoporose / Wirbelbruch
Parkinson
Periphere Nerven
Rückenmarkstimulation (SCS) - Wirbelsäule
Spinalstenose / Spinalkanalstenose
Stabilisierung / Fusion
Sulcus-ulnaris-Syndrom
Tiefe Hirnstimulation
Tinnitus
Visualase
Wirbelgelenkarthrose / Facettensyndrom
Mikrotherapie Wirbelsäule
Die Mikrotherapie ist ein minimal-invasives Behandlungsverfahren, bei dem Patienten in örtlicher Betäubung mit sehr kleinen Instrumenten und Injektionsnadeln behandelt werden. Die Mikrotherapie erfolgt in der Regel ambulant und ist weitgehend schmerzfrei.
Ihre Neurochirurgen in Bonn
Definition
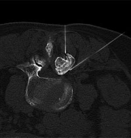
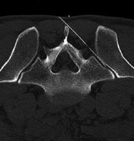
Zur Eingriffsplanung und Steuerung der Mikrotherapie werden die CT und die digitale Röntgendurchleuchtung verwendet. Durch diese Art der Planung und Kontrolle ist ein millimetergenaues Vorgehen möglich. Auf diese Weise wird die Verletzung wichtiger anatomischer Strukturen und Organe vermieden. Je nach Art des Eingriffs kann eine Kontrolle der Instrumente auch über ein Endoskop mit Glasfaserkabeln und Lichtleitern erfolgen.
Die korrekte Lage der Instrumente wird kontrolliert und ggf. korrigiert. Je nach Befund (bei der Halswirbelsäule relativ oft) muss die Instrumenten- oder Nadellage mittels der Gabe einer geringen Kontrastmittelmenge kontrolliert werden. An der Lendenwirbelsäule wird der Eingriff in Bauchlage durchgeführt, an der Halswirbelsäule in Rückenlage. Die Infiltration mittels Nadeln wird auch als diagnostisches Verfahren, als sogenannte Testinfiltration genutzt.


Unterschieden werden in der Mikrotherapie
Abbildungen: rechts unten: Selektive Infiltration des Kreuzdarmbeingelenks (ISG), links oben: Mikrotherapie am Facettengelenk mit Kontrolle der Nadellage am Gelenkspalt, zweite Nadel im Wurzelkanal
Behandlung der Nervenwurzel
- periradikuläre Infiltration
- epidurale Infiltration
Behandlung der Wirbel- und Nervenkanalverengung
- epidurale Injektion
- periradikuläre Injektion