Bandscheibenprothese / ADR
Bandscheibenvorfall an der Halswirbelsäule (HWS)
Bandscheibenvorfall an der Lendenwirbelsäule (LWS)
Dekompression / Jannetta OP
Dekompression / Mikrolaminektomie
Dystonie
Elektrophysiologie
Endoskopische Abrasion
Endoskopische Bandscheiben-OP
Essentieller Tremor
Hirntumor: Ursachen, Symptome und Therapie
Instabilität / Gleitwirbel
Karpaltunnelsyndrom
Kyphoplastie und Vertebroplastie
Mikrochirurgische OP
Mikrotherapie Wirbelsäule
Minimalinvasive OP
Morton-Neurom / Morton-Neuralgie
Neuralgie / Trigeminusneuralgie
Osteoporose / Wirbelbruch
Parkinson
Periphere Nerven
Rückenmarkstimulation (SCS) - Wirbelsäule
Spinalstenose / Spinalkanalstenose
Stabilisierung / Fusion
Sulcus-ulnaris-Syndrom
Tiefe Hirnstimulation
Tinnitus
Visualase
Wirbelgelenkarthrose / Facettensyndrom
Bandscheibenvorfall an der
Lendenwirbelsäule (LWS)
In der Beta Klinik Bonn sind wir auf die Behandlung des Bandscheibenvorfalls an der Lendenwirbelsäule (LWS) spezialisiert. Neben einer kurzzeitigen Terminvergabe profitieren Sie von einer individuellen, intensiven Behandlung bei einem Bandscheibenvorfall LWS und erhalten eine ganzheitliche medizinische Rundumversorgung. Unsere Fachärztinnen und Fachärzte beraten Sie gerne.
Erfahren Sie bei uns alles Wichtige über den Bandscheibenvorfall LWS – Symptome, Diagnostik und Behandlungsmöglichkeiten in der Beta Klinik Bonn.
Ihre Neurochirurgen in Bonn
Bandscheibenvorfall Lendenwirbelsäule: Was tun?
Wenn Sie die Vermutung haben, es könnte sich bei Ihren Symptomen um einen Bandscheibenvorfall handeln, sollten Sie unbedingt einen Facharzt bzw. eine Fachärztin aufsuchen. Oftmals lassen sich Bandscheibenvorfälle im Lendenwirbelbereich mit „konservativen“ Behandlungsmethoden behandeln, also ohne Operation. Das gelingt vor allem durch Bewegung, Entspannung und Entlastung sowie eine Medikamententherapie.
Je nach Einzelfall können moderne minimal-invasive Operationsverfahren aber ebenfalls sinnvoll sein. Erfahren Sie im Folgenden mehr über die Diagnostik und Behandlungsmöglichkeiten.

Bandscheibenvorfall LWS / Bandscheibenvorfall Lendenwirbelsäule
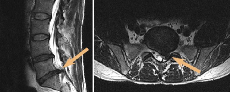
Mit zunehmendem Alter verschlechtert sich automatisch die Versorgung mit Nährstoffen und Wasser, sodass sich die Bandscheiben im fortschreitenden Alter abbauen. Zu einem Bandscheibenvorfall der Wirbelsäule kommt es, wenn der hintere Schutzring der Bandscheibe einreißt oder sich vorwölbt. Dabei können Nerven eingeklemmt und gereizt werden (siehe Abbildungen A und B). Starke Schmerzen und Beschwerden sind die Folge.
Bandscheibenvorfall der Lendenwirbelsäule (LWS): Symptome, Diagnose und Behandlung
Bei einem Bandscheibenvorfall der Wirbelsäule entsteht durch eine Schwäche des hinteren Teils der Bandscheibe eine Beschädigung des Knorpelringes. Unterschieden wird zwischen einem Bandscheibenvorfall der Lendenwirbelsäule und der Halswirbelsäule. Dabei ist der Bandscheibenvorfall der Lendenwirbelsäule, auch bekannt als „Bandscheibenvorfall LWS“, die häufigste Form des Bandscheibenvorfalls. Bis zu 90 Prozent aller Bandscheibenvorfälle liegen im Bereich der Lendenwirbel. Die Folgen reichen von starken Rückenschmerzen, die bis in die Beine ausstrahlen können, über Taubheitsgefühle bis hin zu Lähmungen. Ein Bandscheibenvorfall tritt am häufigsten zwischen dem 4. und 5. Lendenwirbel oder zwischen dem 5. Lendenwirbel und dem Steißbein auf.
Die Behandlung eines Bandscheibenvorfalls der Halswirbelsäule (HWS) richtet sich primär nach dem Schweregrad der Symptome. Wenn die Schmerzen erträglich sind und keine neurologischen Ausfälle vorliegen, reicht die Behandlung durch Physiotherapie, Medikamente und eventuell lokale Infiltrationen aus.
In der Beta Klinik Bonn erhalten Sie eine exzellente medizinische Versorgung. Profitieren Sie von einer individuellen, intensiven Behandlung der qualifizierten Fachärztinnen und Fachärzte.

Symptome
Bandscheibenvorfall LWS: Lendenwirbelsäule
Ein Bandscheibenvorfall kann Schmerzen verursachen, die bis ins Gesäß, Bein oder in den Fuß ausstrahlen können. Im schlimmsten Fall können sogar Lähmungen und Gefühlsstörungen als Symptome eines Bandscheibenvorfalls LWS auftreten. Bei der Vorwölbung der Bandscheibe wird der Nerv so gereizt, dass starke Schmerzen entstehen können.
Die Symptome des Bandscheibenvorfalls LWS im Überblick
Ein Bandscheibenvorfall im Bereich der Lendenwirbelsäule (LWS) kann verschiedene Symptome verursachen, die je nach Schweregrad und betroffenem Nerv variieren. Typische Anzeichen sind:
Die Schmerzen im Rücken werden häufig als andauernd und stechend beschrieben. Bereits bei kleinster Bewegung verstärken sich die Schmerzen. Sie verstärken sich ebenfalls, wenn die Betroffenen etwas heben oder sich nach vorne beugen. Auch Niesen und Husten können die Rückenschmerzen intensivieren.
Schmerzen können in die Gesäßregion, die Beine und bis in die Füße ausstrahlen (Ischiasschmerzen).
Kann über das Gesäß in das Bein bis zum Fuß ausstrahlen.
Vor allem in den Beinen oder Füßen, z.B. Schwierigkeiten beim Gehen oder Stehen.
Als würden Ameisen über das Bein laufen.
Starkes Bücken, Drehen oder Aufstehen kann schmerzhaft sein.
In einigen Fällen sind die Reflexe in den Beinen vermindert.
Wenn Nerven, die die Blasen- oder Darmfunktion steuern, betroffen sind, kann es zu Inkontinenz oder Schwierigkeiten beim Wasserlassen kommen (medizinischer Notfall).
Welche Beschwerden auftreten, hängt davon ab, in welcher Höhe der Bandscheibenvorfall vorliegt und welche Richtung er nimmt. Man unterscheidet dabei solche, die mittig sind und mehr Rückenschmerzen verursachen, und solche, die mehr seitlich sind und Beinschmerzen hervorrufen.
Nicht jeder Bandscheibenvorfall, der in unserem MRT oder während des Röntgens erkannt wird, ist auf auftretende Beschwerden bei den Patientinnen und Patienten zurückzuführen. Die Ausprägung und Schmerzintensität der Patient:innen kann sehr unterschiedlich ausfallen. Das bedeutet, dass auch kleinste Symptome bereits Anzeichen für einen Bandscheibenvorfall LWS sein können.
Sollten Sie sich unsicher sein und leichte Schmerzen verspüren oder Symptome bemerken, sollten Sie unbedingt einen Facharzt bzw. eine Fachärztin aufsuchen. Das können beispielsweise immer häufiger auftretende Taubheitsgefühle sein oder vermehrt leichte Bein- und Rückenschmerzen.

Ursachen eines Bandscheibenvorfalls LWS und Risikofaktoren
Ein Bandscheibenvorfall im Bereich der Lendenwirbelsäule (LWS) kann durch verschiedene Ursachen und Risikofaktoren begünstigt werden. Nicht nur offensichtliche Belastungen wie schweres Heben oder Unfälle, sondern auch alltägliche Bewegungen wie falsches Drehen können bei entsprechender Veranlagung einen Bandscheibenvorfall auslösen.
Zu den Ursachen und Risikofaktoren gehören:
Schwäche des Bindegewebes kann das Risiko erhöhen.
Zusätzliche Belastung der Wirbelsäule kann zu vorzeitiger Abnutzung führen.
Bewegungsmangel schwächt die Muskulatur, die die Wirbelsäule stabilisieren soll.
Besonders im Büroalltag oder bei Berufskraftfahrern erhöht sich die Belastung auf die Bandscheiben.
Berufe, die regelmäßiges Heben oder körperliche Belastung erfordern, steigern das Risiko.
Verschlechtert die Durchblutung der Bandscheiben, was zu deren Degeneration führen kann.
Beispielsweise durch zu wenig Bewegung

Anatomische und biomechanische Faktoren begünstigen das Auftreten von Bandscheibenvorfällen insbesondere an der Lendenwirbelsäule und an der Halswirbelsäule, jeweils im unteren Drittel. Am häufigsten tritt ein Bandscheibenvorfall in der Lendenwirbelsäule zwischen dem 4. und 5. Lendenwirbel sowie dem 5. Lendenwirbel und dem Steißbein auf.
Diagnostik
Bandscheibenvorfall LWS / Bandscheibenvorfall Lendenwirbelsäule
Um den Bandscheibenvorfall von anderen Erkrankungen abzugrenzen, die ähnliche Beschwerden verursachen, findet zunächst eine neurologisch-orthopädische Untersuchung inklusive einer umfangreichen Anamneseerhebung statt.
Im Anschluss daran werden häufig bildgebende Untersuchungen wie die MRT durchgeführt. Mit der Magnetresonanztomographie (MRT) lassen sich Bandscheibenvorfälle der Lendenwirbelsäule und andere Erkrankungen der Wirbelsäule sehr gut untersuchen und sichtbar machen.
In der Beta Klinik verwenden wir ein halboffenes MRT, was es uns ermöglicht, auch klaustrophobische Patientinnen und Patienten mit einem Gewicht bis 200 kg komfortabel zu untersuchen.


Bandscheibenvorfall LWS: Operation und Therapie
Nicht jeder Bandscheibenvorfall muss operiert werden. Ein Bandscheibenvorfall lässt sich auch ohne Operation lindern. Zu den gängigen Therapieverfahren bei einer Behandlung des Bandscheibenvorfalls LWS gehören:
- die Behandlung mit schmerz- und entzündungshemmenden Mitteln;
- die Vermeidung schwerer körperlicher Belastung: insbesondere Bücken, Heben und Schieben sowie schnelle Drehbewegungen.
Allerdings kann dieser Heilungsprozess bei einem Bandscheibenvorfall LWS ohne OP deutlich länger andauern. Nach der akuten Behandlung des Bandscheibenvorfalls sollte durch die Physiotherapie ein krankengymnastisches Programm mit speziellen Übungen zur Stärkung der Bauch- und Rückenmuskulatur erfolgen.
Sollte auch nach Überprüfung der Therapie und Ausschöpfung konservativer Therapieverfahren bei einem Bandscheibenvorfall LWS keine erhebliche Besserung eintreten, ist eine Operation der Bandscheiben der nächste Schritt. Das bedeutet: Sollten weiterhin deutliche Taubheitsgefühle oder eine Schwäche und Lähmungen auftreten oder die Schmerzen unerträglich sein, ist eine OP zumeist die beste Lösung.
Die klassische Lehrmeinung, den Bandscheibenvorfall nur bei akuten neurologischen Ausfällen oder drohender Querschnittslähmung zu operieren, ist überholt. Das sogenannte Stufenschema mit mindestens sechswöchiger konservativer Behandlung ist in Anbetracht moderner minimal-invasiver Operationsverfahren nicht mehr sinnvoll.
Behandlung bei Bandscheibenvorfall LWS in der Beta Klinik Bonn: Möglichkeiten
In der Beta Klinik Bonn stehen moderne und schonende Behandlungsmöglichkeiten für einen Bandscheibenvorfall der Lendenwirbelsäule (LWS) zur Verfügung.Zu den besonders vorteilhaften Verfahren zählen minimal-invasive Operationstechniken. Diese können bei Bedarf bereits nach wenigen Tagen durchgeführt werden, insbesondere wenn die berufliche oder private Situation einen längeren Krankheitsausfall nicht erlaubt.
Minimal-invasive Methoden für die Bandscheibenvorfall LSW-OP haben den Vorteil, dass keine Muskel- oder Gewebedurchtrennung nötig ist. Dadurch erholen sich Patient:innen schneller und sind früher wieder mobil. Der kürzere Krankenhausaufenthalt führt zu einer schnelleren Rückkehr in den Alltag, sei es zur Arbeit oder zur Erfüllung familiärer Verpflichtungen, wie der Betreuung von Kindern oder pflegebedürftigen Angehörigen.
Die Beta Klinik Bonn legt großen Wert darauf, die Behandlungszeit möglichst kurz zu halten und gleichzeitig eine effektive Genesung zu gewährleisten.
Bandscheibenvorfall LWS: OP ja oder nein?
Ob eine Operation bei einem Bandscheibenvorfall der Lendenwirbelsäule (LWS) notwendig ist, hängt von der Schwere der Beschwerden und dem individuellen Befund ab. In vielen Fällen lassen sich die Schmerzen und Einschränkungen durch konservative Therapien wie Physiotherapie, Schmerzbehandlung oder Injektionen erfolgreich lindern. Wenn jedoch starke neurologische Ausfälle, wie Lähmungen oder anhaltende Schmerzen trotz konservativer Behandlung auftreten, kann eine Operation sinnvoll sein. In der Beta Klinik beraten wir Sie umfassend und individuell, um gemeinsam die bestmögliche Therapieentscheidung zu treffen – ob mit oder ohne OP.
Die mikrochirurgische Operation des Bandscheibenvorfalls ist vergleichbar sicher und effizient wie die endoskopische Operation (s.u.). Bei dieser Bandscheiben-OP ist jedoch ein kleiner Hautschnitt nötig, durch den der Neurochirurg bzw. die -chirurgin operiert. Mithilfe eines Operationsmikroskops ist ein millimetergenaues Vorgehen möglich.
In manchen Fällen wird die erkrankte Bandscheibe durch eine Bandscheibenprothese (Artificial disc replacement – ADR) ersetzt, welche die Beweglichkeit und Flexibilität der Wirbelsäule trotz Bandscheibenentfernung erhält.
Andere Optionen:

Beta Klinik Bonn: Ihr privates Facharzt- und Klinikzentrum für die medizinische Vollversorgung
Die Beta Klinik Bonn ist eine Privatpraxis für zahlreiche Fachrichtungen mit angeschlossenem privatem Klinikzentrum. Wir nehmen uns Zeit für unsere Patientinnen und Patienten und legen großen Wert auf höchste Qualitätsstandards bei der Behandlung durch spezialisierte Fachärztinnen und Fachärzte.